How To Get Vampire Teeth For Real : Via a slip on, permanently or caps.

How To Get Vampire Teeth For Real : Via a slip on, permanently or caps.. Permanent options, on the other hand, will be made from real dental acrylics. It's less expensive than getting caps, but it's something that you'll have to live with for the rest of your life. Aug 22, 2014 · it's possible, although your dentist probably won't recommend it. There are few ways you can get vampire fangs: The most common type will be a slip on.

Jeicy vampire fangs teeth, vampire blood and vampire teeth glue set for halloween cosplay party favors 3 pairs (13mm,15mm,17mm) 3.4 out of 5 stars. There are a few options to get real vampire teeth. There are few ways you can get vampire fangs: Aug 22, 2014 · it's possible, although your dentist probably won't recommend it. As the name notes, these fangs simply slip over your teeth and you're able to take them out whenever you please.

Fake Vampire Teeth Fangs Halloween Zombie Set Of 4 Pcs At Rs 299 Set Halloween Decorations ह ल व न प र डक ट स ह ल व न प र डक ट M S Fancy Steps Ghaziabad Id 16478594255
Fake Vampire Teeth Fangs Halloween Zombie Set Of 4 Pcs At Rs 299 Set Halloween Decorations ह ल व न प र डक ट स ह ल व न प र डक ट M S Fancy Steps Ghaziabad Id 16478594255 from 5.imimg.com
It's less expensive than getting caps, but it's something that you'll have to live with for the rest of your life. Get it as soon as fri mar 26. We talked to a cosmetic dentist about getting real vampire fangs, and though he didn't really condone it, being a christian and all, he did explain the various methods you can go through to do it. Permanent options, on the other hand, will be made from real dental acrylics. Get it as soon as fri, mar 26. Apr 28, 2010 · ask your dentist. There are a few options to get real vampire teeth. In most individuals the alignment of the upper and lower teeth limits the potential space to extend teeth and the shape must allow for the jaw joint to.

There are few ways you can get vampire fangs:

We talked to a cosmetic dentist about getting real vampire fangs, and though he didn't really condone it, being a christian and all, he did explain the various methods you can go through to do it. Aug 07, 2018 · vampire fangs overview. Apr 28, 2010 · ask your dentist. There are few ways you can get vampire fangs: May 14, 2021 · there are few ways you can get vampire fangs: How to get a vampire fangs in 2 minutes.easy chew a mentos stick it into your tooth and shape it like a vampire fangsplsss like and subscribe to my channel r. It's less expensive than getting caps, but it's something that you'll have to live with for the rest of your life. How much do permanent vampire teeth cost? What is a vampire maker? Aug 22, 2014 · it's possible, although your dentist probably won't recommend it. There are a few options to get real vampire teeth. Via a slip on, permanently or caps. The most common type will be a slip on.

As the name notes, these fangs simply slip over your teeth and you're able to take them out whenever you please. We talked to a cosmetic dentist about getting real vampire fangs, and though he didn't really condone it, being a christian and all, he did explain the various methods you can go through to do it. There are few ways you can get vampire fangs: It's less expensive than getting caps, but it's something that you'll have to live with for the rest of your life. First, a dental assistant would clean the canine teeth off with supersmile whitening toothpaste.

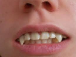
How Long Will It Take To Correct My Vampire Teeth Photo
How Long Will It Take To Correct My Vampire Teeth Photo from fi.realself.com
Permanent options, on the other hand, will be made from genuine dental polymers. The most common type will be a slip on. Jeicy vampire fangs teeth, vampire blood and vampire teeth glue set for halloween cosplay party favors 3 pairs (13mm,15mm,17mm) 3.4 out of 5 stars. Furthermore the cost will run you somewhere between 2000 to 5000 easily. These teeth will be inserted via a cosmetic dentist and will be adjusted to fit your mouth via a drill. It's less expensive than getting caps, but it's something that you'll have to live with for the rest of your life. How do you make a vampire costume? Aug 22, 2014 · it's possible, although your dentist probably won't recommend it.

We talked to a cosmetic dentist about getting real vampire fangs, and though he didn't really condone it, being a christian and all, he did explain the various methods you can go through to do it.

First, a dental assistant would clean the canine teeth off with supersmile whitening toothpaste. Permanent options, on the other hand, will be made from real dental acrylics. As the name notes, these fangs simply slip over your teeth and you're able to take them out whenever you please. Via a slip on, permanently or caps. Furthermore the cost will run you somewhere between 2000 to 5000 easily. Get it as soon as fri, mar 26. It's less expensive than getting caps, but it's something that you'll have to live with for the rest of your life. Jul 27, 2020 · there are a couple of ways you can get vampire fangs: The most common type will be a slip on. In most individuals the alignment of the upper and lower teeth limits the potential space to extend teeth and the shape must allow for the jaw joint to. There are few ways you can get vampire fangs: Jul 06, 2021 · as the name states these fangs just slip over your teeth and youre able to take them off whenever you please. Jeicy vampire fangs teeth, vampire blood and vampire teeth glue set for halloween cosplay party favors 3 pairs (13mm,15mm,17mm) 3.4 out of 5 stars.

Permanent options, on the other hand, will be made from real dental acrylics. Furthermore the cost will run you somewhere between 2000 to 5000 easily. Jul 06, 2021 · as the name states these fangs just slip over your teeth and youre able to take them off whenever you please. Get it as soon as fri, mar 26. Apr 28, 2010 · ask your dentist.

Meath Mum Shocked To Find Her Baby Had Sprouted A Vampire Fang Overnight Herfamily Ie
Meath Mum Shocked To Find Her Baby Had Sprouted A Vampire Fang Overnight Herfamily Ie from m0.herfamily.ie
Aug 22, 2014 · it's possible, although your dentist probably won't recommend it. What is a vampire maker? It's less expensive than getting caps, but it's something that you'll have to live with for the rest of your life. First, a dental assistant would clean the canine teeth off with supersmile whitening toothpaste. As the name states, these fangs just slip over your teeth, and you're able to take them off whenever you please. Jul 27, 2020 · there are a couple of ways you can get vampire fangs: How to get a vampire fangs in 2 minutes.easy chew a mentos stick it into your tooth and shape it like a vampire fangsplsss like and subscribe to my channel r. Jul 06, 2021 · as the name states these fangs just slip over your teeth and youre able to take them off whenever you please.

Via a slip on, permanently or caps.

There are a few options to get real vampire teeth. Via a slip on, permanently or caps. What is a vampire maker? How do you make a vampire costume? Permanent options, on the other hand, will be made from genuine dental polymers. Furthermore the cost will run you somewhere between 2000 to 5000 easily. We talked to a cosmetic dentist about getting real vampire fangs, and though he didn't really condone it, being a christian and all, he did explain the various methods you can go through to do it. Jul 27, 2020 · there are a couple of ways you can get vampire fangs: First, a dental assistant would clean the canine teeth off with supersmile whitening toothpaste. There are few ways you can get vampire fangs: Get it as soon as fri mar 26. Aug 22, 2014 · it's possible, although your dentist probably won't recommend it. May 14, 2021 · there are few ways you can get vampire fangs:

Posting Komentar

Lebih baru Lebih lama

Facebook